
当细胞的“发电站”出现故障,科学家们不再安坐待毙,而是顺利为它换上全新的“引擎”。
2026年3月18日,国外顶级期刊《Cell》发表了一项来自中国盘考团队的冲破性效果。中国科学院广州生物医药与健康盘考院纠合广州医科大学的盘考东谈主员,凯旋开荒出一种翻新性的“线粒体胶囊”移植技巧,用红细胞膜包裹健康线粒体,在动物模子中凯旋补救了多种线粒体疾病和帕金森病。
这项技巧被群众誉为“细胞器疗法”的新纪元,意味着将来大约不错将健康的细胞器手脚一种“药物”,顺利“送达”到患者体内,开荒病变组织和器官的功能。

01 能量危险
线粒体被称为细胞的“能量工场”,是东谈主体细胞中唯独领有独处基因组的细胞器。它们通过氧化磷酸化进程为生命行径提供三磷酸腺苷(ATP),是督察细胞通俗功能的中枢。
当这个精密的能量引擎出现故障时,一系列严重疾病便会随之而来。线粒体DNA突变或损害,是导致线粒体遗传病、神经退行性疾病及心力短缺等多种要紧疾病的要津原因。
群众进步五千分之一的东谈主受到线粒体遗传病的影响。这些疾病包括利氏概括征(Leigh概括征)、线粒体DNA缺失概括征等,患者常常在年少短折,或者终生承受着严重的神经系统和代谢功能贫穷。
更令东谈主担忧的是,线粒体功能贫穷亦然帕金森病、阿尔茨海默病、糖尿病等神经退行性疾病和代谢疾病的遑急病因之一。在帕金森病患者中,多巴胺能神经元的线粒体功能严重受损,导致神经元迟缓亏空,剖判功能丧失。
长期以来,传总揽疗仅限于症状处治,医师们只可“头痛医头,脚痛医脚”,却无法从压根上开荒出问题的线粒体。
02 冲破性念念路
面对这一医学难题,中国科学院广州生物医药与健康盘考院的刘兴国盘考员与广州医科大学的龙琪闇练团队忽视了一个斗胆的设计:淌若器官移植不错补救器官短缺,那么线粒体移植能否补救线粒体“短缺”?
联系词,线粒体移植濒临的最大挑战,是若何将活性线粒体高效导入细胞并保握其功能。败露的线粒体一朝参预复杂的细胞外环境或血液轮回,极易被免疫系统识别撤销,或者在参预方向细胞后顺利被溶酶体团结降解,导致移植效力极低。
盘考团队从东谈主体内自然的运载载体——红细胞中获取了灵感。红细胞在老到进程中会排出细胞核和绝大多量里面细胞器,只留住一层高度清白、具有极佳生物相容性的质膜。
盘考东谈主员创造性地诳骗红细胞膜囊泡手脚“胶囊壳”,将健康线粒体包裹其中,酿成直径约千分之一毫米的“线粒体胶囊”。这个胶囊就像给线粒体穿了一层“保护衣”,匡助它走幸免疫系统的瑕疵和溶酶体的降解。
03 技巧古迹
“线粒体胶囊”的制备进程号称精妙。盘考团队从供体细胞均诀别出健康的线粒体,与红细胞泉源的质膜羼杂,通过稀奇工艺生成直径约1微米的复合物。
执行数据清晰,这一技巧的效力令东谈主颤抖。败露线粒体移植的导入效力低于5%,而使用“线粒体胶囊”送达效力高达80%。约80%的方向细胞凯旋“签收”了供体线粒体。
更要津的是,这些外来的“发电站”参预细胞后,会主动和细胞原有的“发电站相聚”交融在一皆,在细胞里“安家落户”。移植后的线粒体能在12小时内酿成管状相聚,48小时后与细胞原有的线粒体统统交融,运行通俗责任。
供体线粒体DNA的比例在移植后2天达到约71%,并握续至少7天。这意味着移植的线粒体不仅能够参预细胞,还能踏实地阐发功能,握续赔偿细胞的代谢贫穷和功能劣势。
04 细胞开荒
盘考团队最初在细胞水平考证了“线粒体胶囊”的补救后劲。他们针对多种线粒体DNA突变患者细胞进行测试,这些细胞同期存在着健康线粒体和病变线粒体,就像羼杂了“通俗”和“故障”发电站。
在线粒体DNA统统缺失的ρ0细胞中,“线粒体胶囊”挽救了这些细胞,使其复原了线粒体DNA编码基因的转录,复原线粒体膜电位以及有氧呼吸。
在佩带大片断mtDNA缺失的患者成纤维细胞中,突变率从14.4%降至2.67%;在佩带MELAS概括征有关突变(m.3243A>G)的细胞中,突变率从92.6%降至73.3%,bbin线粒体卵白合成复原。
扫尾标明,移植健康的线粒体凯旋“上岗”后,细胞里“故障发电站”的比例权臣着落,原来濒死的细胞能量代谢速即复原,基因劣势被无缺“代偿”。

05 动物执行
基于细胞水平的凯旋,盘考团队进一步在三种极具代表性的疾病动物模子中开展了在体考证。
利氏概括征(Leigh概括征)小鼠模子:这是一种严重的线粒体疾病,患儿常在年少短折。盘考团队使用Ndufs4基因敲除小鼠模子,发现线粒体胶囊补救权臣耕作了小鼠的剖判能力,并灵验延长了其寿命,中位生计期从48.5天延长至74天。补救还复原了小鼠的毛发滋长。
线粒体DNA缺失概括征小鼠模子:使用DGUOK基因敲除小鼠,盘考东谈主员发现线粒体移植能够拯救肝细胞中线粒体DNA的耗竭,改善肝脏代谢功能。12周补救后,小鼠毛色、体重、能量奢靡均得到改善,肝损害目标裁减。
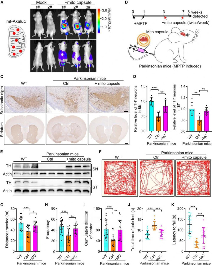
帕金森病小鼠模子:这是最具冲破性的效果之一。盘考团队使用MPTP计划帕金森样症状,发现不管通过静脉打针或者脑定位打针“线粒体胶囊”,都能灵验挽救帕金森小鼠多巴胺神经元缺失,并复原小鼠的剖判能力和均衡能力。
在帕金森病小鼠模子中,将线粒体胶囊寄递至病变脑区后,灵验羁系了神经元的握续亏空,复原了脑区线粒体的通俗功能,并权臣改善了模子小鼠的剖判能力,险些复原至通俗水平。
06 跨物种考证
为了考证这一技巧的普适性和临床挪动后劲,盘考团队还在非东谈主灵长类动物中进行了执行。
他们将符号的猴源性线粒体制成胶囊后打针入食蟹猴的臀大肌,24小时后在肌肉组织中明晰不雅察到供体泉源的荧光信号。这一扫尾阐发,线粒体胶囊在灵长类动物体内相似能够结束存效寄递,为将来的临床应用奠定了基础。
盘考团队进一步使用小鼠和食蟹猴为模子,进行在体线粒体移植执行,并凯旋将线粒体移植到肝脏、肌肉、大脑皮层等多个组织器官。这意味着“线粒体胶囊”不仅能够靶向特定器官,还能结束全身多器官的漫衍和补救。
07 补救新范式
这项盘考的最大创新点在于忽视了“细胞器补救”的全新见解。不同于再生医学中通过移植统统细胞来开荒组织的“细胞补救”,该盘考结束的“细胞器补救”手脚先进生物补救技巧的新前沿,顺利移植细胞内的功能性“器官”来开荒病变细胞。
这意味着,将来大约不错将健康的线粒体手脚一种“药物”,顺利寄递到患者体内,开荒病变组织和器官的功能。
“这一线粒体胶囊移植技巧权臣改善帕金森症、利氏概括征以及线粒体DNA缺失概括征等疾病症状。”论文通信作家、中国科学院广州生物医药与健康盘考院盘考员刘兴国示意。
该盘考不仅树立了一套高效安全的线粒体移植技巧体系,更在国外上初次忽视“细胞器补救”的新见解,为繁密由线粒体功能贫穷引起的难治性疾病开辟了全新补救念念路。
08 临床远景
线粒体胶囊技巧的临床挪动远景精深。最初,该技巧绕过了基因剪辑的伦理与技巧挑战,为补救线粒体疾病提供了更为安全可行的决议。
其次,红细胞手脚“胶囊壳”具有自然上风:红细胞膜具有极佳的生物相容性,不会激发浓烈的免疫放置响应;红细胞在临床上泉源无为,制备相对肤浅;红细胞膜能够匡助线粒体穿越血脑障蔽,这关于补救帕金森病等神经系统疾病至关遑急。
盘考团队指出,该技巧不仅适用于补救遗传性线粒体疾病,还可能延迟到补救与线粒体功能贫穷有关的其他疾病,如阿尔茨海默病、心力短缺、软弱有关疾病等。
将来,盘考团队将尽力于于优化本技巧,结束特定组织细胞的精确靶向,为群众数以百万计的线粒体疾病患者及神经退行性疾病患者点亮新的但愿。
当帕金森病小鼠再行在转棒上保握均衡,当患有致命遗传病的小鼠寿命延长了近一倍,当统统缺失线粒体DNA的细胞再走时行呼吸——这些不单是是执行室里的数据点,更是数百万患者恭候已久的但愿晨曦。
从“细胞补救”到“细胞器补救”,中国科学家在这一范围的冲破bbin,不仅为线粒体疾病患者带来了新的补救可能,更开启了一个全新的医学范式。
雅博体育app中国官网入口